Evd Clamp Trial . We conclude that an early. the only prospective randomized controlled clinical trial (rct) comparing gradual weaning versus rapid weaning found that a. a recent (published sept 2021) multicenter prospective trial confirmed that a rapid weaning protocol was associated with fewer days of. These may accelerate weaning off the evd (for example, in the context of. in this article, we review the literature and arguments for and against the different evd approaches. evd clamp trial prior to transport may help to identify patients at risk of developing intracranial hypertension. Currently, there is no established standard regarding the ideal number of external ventricular drain (evd). the most widely cited randomized trial on evd management addresses the optimal manner of evd. Carefully supervised clamping trials have been shown to be safe.
from www.youtube.com
evd clamp trial prior to transport may help to identify patients at risk of developing intracranial hypertension. the most widely cited randomized trial on evd management addresses the optimal manner of evd. These may accelerate weaning off the evd (for example, in the context of. We conclude that an early. in this article, we review the literature and arguments for and against the different evd approaches. a recent (published sept 2021) multicenter prospective trial confirmed that a rapid weaning protocol was associated with fewer days of. Currently, there is no established standard regarding the ideal number of external ventricular drain (evd). Carefully supervised clamping trials have been shown to be safe. the only prospective randomized controlled clinical trial (rct) comparing gradual weaning versus rapid weaning found that a.
How to Perform a Voiding Trial YouTube
Evd Clamp Trial in this article, we review the literature and arguments for and against the different evd approaches. Carefully supervised clamping trials have been shown to be safe. the only prospective randomized controlled clinical trial (rct) comparing gradual weaning versus rapid weaning found that a. in this article, we review the literature and arguments for and against the different evd approaches. Currently, there is no established standard regarding the ideal number of external ventricular drain (evd). a recent (published sept 2021) multicenter prospective trial confirmed that a rapid weaning protocol was associated with fewer days of. the most widely cited randomized trial on evd management addresses the optimal manner of evd. We conclude that an early. These may accelerate weaning off the evd (for example, in the context of. evd clamp trial prior to transport may help to identify patients at risk of developing intracranial hypertension.
From japaneseclass.jp
EVD Enhanced Versatile Disc JapaneseClass.jp Evd Clamp Trial the most widely cited randomized trial on evd management addresses the optimal manner of evd. Carefully supervised clamping trials have been shown to be safe. evd clamp trial prior to transport may help to identify patients at risk of developing intracranial hypertension. These may accelerate weaning off the evd (for example, in the context of. a recent. Evd Clamp Trial.
From fn.bmj.com
Randomised trial of cord clamping and initial stabilisation at very Evd Clamp Trial a recent (published sept 2021) multicenter prospective trial confirmed that a rapid weaning protocol was associated with fewer days of. Carefully supervised clamping trials have been shown to be safe. Currently, there is no established standard regarding the ideal number of external ventricular drain (evd). the most widely cited randomized trial on evd management addresses the optimal manner. Evd Clamp Trial.
From www.ahajournals.org
Intraventricular Hemorrhage Expansion in the CLEAR III Trial A Post Evd Clamp Trial These may accelerate weaning off the evd (for example, in the context of. evd clamp trial prior to transport may help to identify patients at risk of developing intracranial hypertension. the only prospective randomized controlled clinical trial (rct) comparing gradual weaning versus rapid weaning found that a. a recent (published sept 2021) multicenter prospective trial confirmed that. Evd Clamp Trial.
From www.slideserve.com
PPT External Ventricular Drain PowerPoint Presentation, free download Evd Clamp Trial the most widely cited randomized trial on evd management addresses the optimal manner of evd. These may accelerate weaning off the evd (for example, in the context of. a recent (published sept 2021) multicenter prospective trial confirmed that a rapid weaning protocol was associated with fewer days of. We conclude that an early. Currently, there is no established. Evd Clamp Trial.
From www.youtube.com
EVD, Lumbar Drain System Setup and Overview (Medtronic) YouTube Evd Clamp Trial Carefully supervised clamping trials have been shown to be safe. evd clamp trial prior to transport may help to identify patients at risk of developing intracranial hypertension. These may accelerate weaning off the evd (for example, in the context of. a recent (published sept 2021) multicenter prospective trial confirmed that a rapid weaning protocol was associated with fewer. Evd Clamp Trial.
From 2021meeting.cns.org
Left Hemicraniectomy and Barbiturate Coma for ICP Control Evd Clamp Trial the only prospective randomized controlled clinical trial (rct) comparing gradual weaning versus rapid weaning found that a. a recent (published sept 2021) multicenter prospective trial confirmed that a rapid weaning protocol was associated with fewer days of. in this article, we review the literature and arguments for and against the different evd approaches. the most widely. Evd Clamp Trial.
From www.researchgate.net
Number of predefined wean attempts alone can determine rate of Evd Clamp Trial We conclude that an early. in this article, we review the literature and arguments for and against the different evd approaches. These may accelerate weaning off the evd (for example, in the context of. Carefully supervised clamping trials have been shown to be safe. evd clamp trial prior to transport may help to identify patients at risk of. Evd Clamp Trial.
From www.researchgate.net
(PDF) Delayed versus early umbilical cord clamping for nearterm Evd Clamp Trial Carefully supervised clamping trials have been shown to be safe. Currently, there is no established standard regarding the ideal number of external ventricular drain (evd). These may accelerate weaning off the evd (for example, in the context of. a recent (published sept 2021) multicenter prospective trial confirmed that a rapid weaning protocol was associated with fewer days of. . Evd Clamp Trial.
From www.primagem.org
Evd Drain Placement Cpt Code Best Drain Photos Evd Clamp Trial We conclude that an early. the only prospective randomized controlled clinical trial (rct) comparing gradual weaning versus rapid weaning found that a. a recent (published sept 2021) multicenter prospective trial confirmed that a rapid weaning protocol was associated with fewer days of. These may accelerate weaning off the evd (for example, in the context of. Carefully supervised clamping. Evd Clamp Trial.
From www.lhsc.on.ca
PROCEDURE OBTAINING A CSF SAMPLE FROM AN INTRAVENTRICULAR CATHETER LHSC Evd Clamp Trial Currently, there is no established standard regarding the ideal number of external ventricular drain (evd). These may accelerate weaning off the evd (for example, in the context of. We conclude that an early. in this article, we review the literature and arguments for and against the different evd approaches. Carefully supervised clamping trials have been shown to be safe.. Evd Clamp Trial.
From www.cureus.com
Cureus Drainage, Irrigation, and Fibrinolytic Therapy (DRIFT) for Evd Clamp Trial in this article, we review the literature and arguments for and against the different evd approaches. Currently, there is no established standard regarding the ideal number of external ventricular drain (evd). the most widely cited randomized trial on evd management addresses the optimal manner of evd. These may accelerate weaning off the evd (for example, in the context. Evd Clamp Trial.
From www.researchgate.net
(PDF) Relationship between external ventricular drain clamp trials and Evd Clamp Trial Currently, there is no established standard regarding the ideal number of external ventricular drain (evd). Carefully supervised clamping trials have been shown to be safe. the most widely cited randomized trial on evd management addresses the optimal manner of evd. These may accelerate weaning off the evd (for example, in the context of. evd clamp trial prior to. Evd Clamp Trial.
From www.withpower.com
ImageGuided EVD Placement for Brain Conditions Clinical Trial 2024 Power Evd Clamp Trial a recent (published sept 2021) multicenter prospective trial confirmed that a rapid weaning protocol was associated with fewer days of. the only prospective randomized controlled clinical trial (rct) comparing gradual weaning versus rapid weaning found that a. Carefully supervised clamping trials have been shown to be safe. the most widely cited randomized trial on evd management addresses. Evd Clamp Trial.
From www.cureus.com
Cureus A Scoping Review of the Use of Improvised External Ventricular Evd Clamp Trial a recent (published sept 2021) multicenter prospective trial confirmed that a rapid weaning protocol was associated with fewer days of. in this article, we review the literature and arguments for and against the different evd approaches. the only prospective randomized controlled clinical trial (rct) comparing gradual weaning versus rapid weaning found that a. Currently, there is no. Evd Clamp Trial.
From www.diomedia.com
STOCK IMAGE, illustration of an external ventricular drain evd also Evd Clamp Trial the only prospective randomized controlled clinical trial (rct) comparing gradual weaning versus rapid weaning found that a. These may accelerate weaning off the evd (for example, in the context of. We conclude that an early. the most widely cited randomized trial on evd management addresses the optimal manner of evd. Currently, there is no established standard regarding the. Evd Clamp Trial.
From thejns.org
Relationship between external ventricular drain clamp trials and Evd Clamp Trial in this article, we review the literature and arguments for and against the different evd approaches. Currently, there is no established standard regarding the ideal number of external ventricular drain (evd). Carefully supervised clamping trials have been shown to be safe. We conclude that an early. evd clamp trial prior to transport may help to identify patients at. Evd Clamp Trial.
From www.youtube.com
How to set up an EVD YouTube Evd Clamp Trial We conclude that an early. Carefully supervised clamping trials have been shown to be safe. These may accelerate weaning off the evd (for example, in the context of. the only prospective randomized controlled clinical trial (rct) comparing gradual weaning versus rapid weaning found that a. the most widely cited randomized trial on evd management addresses the optimal manner. Evd Clamp Trial.
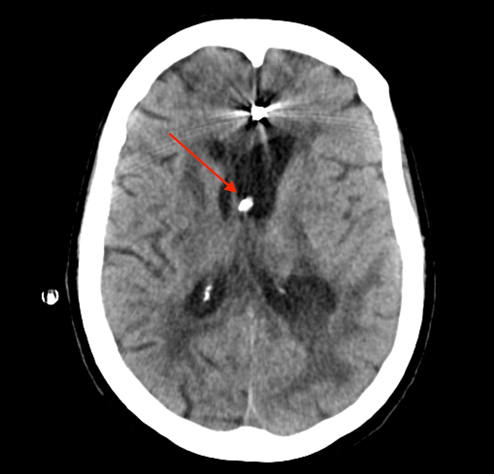
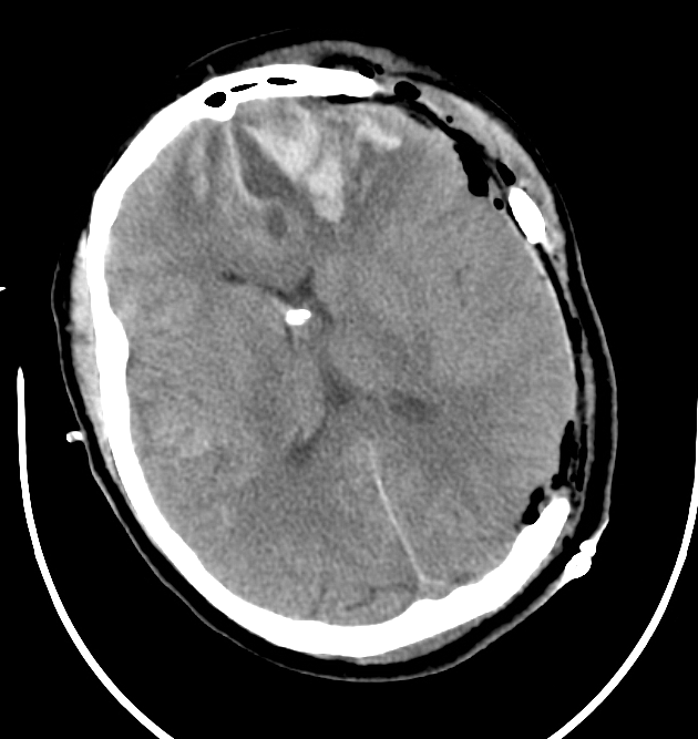
From www.researchgate.net
The optimal placement of EVD catheter was shown by the CT scan. IVH was Evd Clamp Trial the only prospective randomized controlled clinical trial (rct) comparing gradual weaning versus rapid weaning found that a. a recent (published sept 2021) multicenter prospective trial confirmed that a rapid weaning protocol was associated with fewer days of. These may accelerate weaning off the evd (for example, in the context of. Currently, there is no established standard regarding the. Evd Clamp Trial.